Termenul de boli inflamatorii intestinale (BII) este un termen generic care include 3 entitati diferite de boala: Colita ulceroasa (CU), fosta rectocolita ulcerohemoragica, Boala Crohn (BC) si Colita nedeterminata (CN). Cea din urma reprezinta 15% din totalul BII si are elemente endoscopice si histologice atat de CU cat si de BC. De asemenea sunt cunoscute cazuri care evolueaza 3-4 ani, sau mai mult, ca o CU si apoi „vireaza”spre BC. Aceste boli sunt apanajul varstei tinere. Rar afecteaza copiii si persoanele peste 50 ani.
Sunt boli cronice care necesita tratament continuu si supraveghere gastroenterologica periodica pentru a nu deveni invalidante, cu complicatii care necesita tratamente chirurgicale. In 5-10% din cazuri pot evolua spre cancer rectocolonic dupa unele statistici. Astfel aceste boli au de multe ori implicatii asupra calitatii vietii pacientului (si chiar a familiei), scazand randamentul profesional si social al pacientului. Sunt de asemenea costisitoare atat pentru pacient (medicamente, vizite repetate la medicul gastroenterolog, investigatii, uneori operatii) cat si pentru angajator.
Din pacate aceste boli sunt putin cunoscute de pacienti si chiar de unii medici. Daca simptomatologia este frusta se pot confunda cu sindromul de colon iritabil. Diagnosticul poate intarzia uneori pana la 5 ani. Ele au evoluat de la o afectiune rara la una relativ frecventa in ultimii 15 ani. De aceea diagnosticul precoce este de dorit.
Etiologia acestor boli este legata de factori genetici (20% din cazuri), factori imuni, microbiom intestinal modificat, stil de viata inadecvat.
Simptomele care aduc pacientul la medic sunt de obicei scaunele diareice cu sau fara produse patologice(sange, mucus, puroi) si durerile abdominale. Uneori apare scadere a apetitului, scadere importanta in greutate, febra, frison care sunt semnele unei boli vechi severe sau cu complicatii.Trebuie amintit ca unii pacienti au si manifestari extraintestinale: perianale (abcese, fistule), articulare (sacroileita, spondilita ankilozanta, artrite periferice), cutanate (eritem nodos), biliohepatice (colangita sclerozanta primitiva), oculare cu simptomele respectivei boli.
In ceea ce priveste investigatiile medicul gastroenterolog va da obligatoriu teste sanguine si de scaun. In sange se remarca proteina C reactiva, VSH, fibrinogen, leucocite si trombocite crescute. Cand apare malabsorbitia (bolnavi cu Crohn ileal) in sange se gasesc deficite importante ale albuminei, lipidelor, factorilor de coagulare, electrolitilor si unor vitamine. In scaun depistarea calprotectinei fecale este inalt sugestiva pentru BII si gradul lor de severitate, in functie de nivelul cresterii. Aceste teste care deja aduc un ”profil” al bolii sunt urmate de rectocolonoscopie cu investigarea ultimei anse ileale si biopsii de mucoasa. Acesta este testul de aur (”gold standard”) in diagnosticul BII. In stadii avansate de boala cand se banuiesc complicatii (megacolon toxic, perforatii, ocluzie intestinala, abcese) se recurge la radiografie abdominala pe gol, examen CT sau RMN adbominal, uneori si pelvin. Se vorbeste deja de radiologi „dedicati”, supraspecializati pe imagistica BII.
In ultimele 2 decade s-au facut pasi mari in tratamentul BII forme medii si severe prin introducerea unor tratamente noi precum imunomodulatoare (imuran, metotrexat), agenti anti TNF (infliximab, adalimumab). Mai recent au aparut agenti antiintegrina(vedolizumab), agenti antiinterleukina 12 si 23(ustekinumab) si ultimul pe lista: un blocant al kinazei Janus(tofacitinib). De asemenea in ultimii 6 ani se discuta 3 strategii noi in managementul pacientilor cu BII : ”early diagnosis” (diagnostic precoce), ”treat to target” (tratament tintit care sa duca la remisiune clinica, biologica, endoscopica si de dorit histologica) si ”tight control” (control strict periodic la 6 luni atat clinic cat si biologic: proteina C reactiva si calprotectina fecala, iar daca se impune colonoscopie cu biopsie). Mai mult se discuta si 2 tipuri de abordare a treatamentului la acesti pacienti (dupa o ”stratificare” corecta a bolii). Sunt descrise ca ”step-up” (se incepe tratamentul clasic cu 5-ASA si steroizi si ulterior se merge spre imunomodulatoare si biologice) si ”top-down” (se incepe cu tratametul de ultima generatie disponibil si se ajunge la tratam clasic de intretinere dupa ameliorarea neta a clinicii, markerilor biologici si endoscopici).
Colita nedeterminata, M, 42 ani
Colita ulceroasa, F, 42 ani
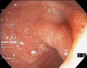
Boala Crohn, M, 34 ani
Dr. Doina Taranu, Medic Primar Gastroenterologie, endoscopie digestiva, Doctor in Stiinte medicale, LaurusMedical Bucuresti












